Marcar Consulta
a
a
Marcar Consulta
a
Homepage
Clínica
Equipa
Tratamentos
Casos Clínicos
Blog
a
Perguntas Frequentes
Contactos e Marcações
Política de Desmarcações
Termos e Condições
  • All
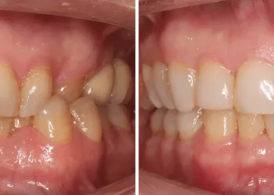
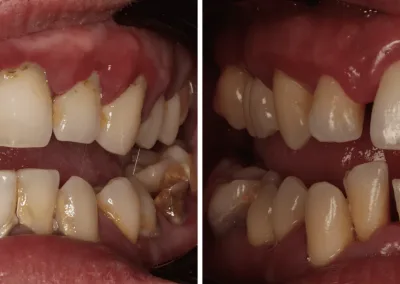
Caso Clínico — 6 restaurações diretas em resina composta
Caso Clínico — Alinhadores removíveis e invisíveis
Caso Clínico — Branqueamento dentário
Caso Clínico — Aparelho invisível
Caso Clínico — Restaurações Diretas
Caso Clínico — Alinhadores Invisalign®️
Caso Clínico — Alinhadores Spark®
Caso Clínico — Aparelho de expansão fixo e aparelho parcial fixo
Caso Clínico — Implantologia, Estética Dentária e Oclusão
Caso Clínico — Harmonização Facial, Periodontologia, Implantologia e Dentisteria
Caso Clínico — Cirurgia Oral, Endodontia, Dentisteria e Harmonização Facial
Caso Clínico — Restaurações Diretas e Branqueamento Dentário
Caso Clínico — Ortodontia, Dentisteria e Implantologia
Caso Clínico — Preenchimento com Ácido Hialurónico
Caso Clínico — Restauração Direta em Resina Composta
Caso Clínico — Restaurações Diretas
Caso Clínico — Guided Biofilm Therapy (GBT)
Caso Clínico — Implantes Unitários, Endodontia e Dentisteria
Caso Clínico — Restaurações Diretas
Caso Clínico — Icon DMG® System
Caso Clínico — Restauração Direta em Resina Composta
Caso Clínico — Implantes Dentários e Prótese Fixa
Caso Clínico — Implantes Dentários e Prótese Dentária Fixa
Caso Clínico — Aparelho de Expansão e Aparelho Fixo Bimaxilar
Caso Clínico — Implantes, Facetas e Coroas Dentárias
Implantes Dentários e Prótese Fixa em Cerâmica
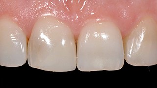
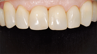
Restauração Direta em Resina Composta
Implantes Dentários e Prótese Fixa em Cerâmica
Restauração Direta em Compósito
Implantes Dentários e Prótese Fixa em Cerâmica
Restauração estética com colocação de resina composta direta
Restauração Direta em Compósito
Prótese Total Fixa sobre Implantes Dentários
Aplicação de Botox®️
Preenchimento com Ácido Hialurónico
Prótese Fixa sobre Implantes Dentários
Estética Dentária
Correção de Manchas
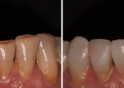
Branqueamento Dentário
Prótese Fixa sobre Implantes Dentários
Reabilitação Fixa sobre Implantes Dentários
Facetas Estéticas
Prótese Total Fixa sobre Implantes Dentários
Restaurações Estéticas
Branqueamento Dentário
Facetas em Compósito e Branqueamento Dentário
Aparelho Fixo Autoligável Bimaxilar e Facetas em Compósito
Aparelho Fixo Autoligável Bimaxilar
Aparelho Fixo Convencional Bimaxilar
Aparelho de Expansão Fixo
Aparelho Fixo Convencional Bimaxilar

Morada

Rua Dr. Mário Madeira n° 9

2665-208 Malveira – Mafra

A 2 minutos da saída da A8, no centro da Malveira. Apenas a 25 minutos de Lisboa.

Clicar aqui para direcções no Google Maps.

Telefone

219 661 804
(custo de chamada para a rede fixa nacional).

966 253 790
(custo de chamada para a rede móvel de acordo com o seu tarifário).

Email

geral@you-clinicadentaria.pt

Social Media

  • Follow
  • Follow

Horário

Segunda: 09:00 – 13:00 // 14:00 – 18:00

Terça a Sexta: 09:00 – 13:00 // 14:30 – 18:30

Sábados: 08:00 – 14:00

Domingos: encerrada.

copyright © 2026 | YOU Clínica Dentária | webdesign by IAMIN

Registo na ERS — 157650 // Licença n.º 21066

Termos e Condições de Utilização

Política de Desmarcações

copyright © 2026 | YOU Clínica Dentária | webdesign by IAMIN

Registo na ERS — 157650 | Licença n.º 21066

Termos e Condições de Utilização

Política de Desmarcações